脊髄損傷の損害賠償について
脊髄損傷による損害賠償は、損害の程度によって変動します。例えば、脊髄損傷は、最大限の回復が期待できないケースでは、最高額の賠償が認められる場合があります。
脊髄損傷の賠償金は1億円超えになるケースも!?
四肢麻痺で完全に介護が必要な状態の場合、賠償金の総額は1億円以上になることもある。保険会社の提案する賠償金で解決すると非常に低額な賠償金で解決してしまうケースもあります。
脊髄損傷になるとどこまで賠償請求できるのか?
請求できるものとして、医療費、損害補償、裁判費用、損害賠償を請求することができます。請求できるものを正しく知ることで、受けた損害を最大限に補償することができます。
「評価尺度」で脊髄損傷の状態を表現する
脊髄損傷の状態を客観的に表わすために評価尺度が用いられています。評価尺度には、改良フランケル分類、ASIA機能障害尺度など、いろいろな種類があります。
診断がむずかしい中心性脊髄損傷
中心性脊髄損傷は、脊椎の骨折を伴わないので診断がむずかしい傷病です。神経学的検査を受けるなどして、正確な診断をしてもらいましょう。
腰髄と脊髄損傷について
腰椎の位置の脊髄損傷を腰髄損傷と言い、股関節や足のまひ、足のしびれなどの症状が現れます。交通事故により、後に示談交渉で、治療による問題も起こりやすいため、まずは弁護士へご相談ください。
脊髄損傷と中心性脊髄症候群
脊椎の脱臼や骨折を伴わない中心性脊髄症候群は、脊髄損傷の中でも、もっとも多く発症する病名の一つです。交通事故によって脊髄損傷となった場合には、まずは弁護士へ相談するのが望ましい。
脊髄損傷の種類「完全損傷」と「不完全損傷」について
交通事故で脊髄損傷となった場合には、脊髄を横断的に損傷した完全損傷と、脊髄の一部が損傷または圧迫を受けたが、断的な損傷は受けておらず一部の機能を残す不完全損傷がある。
交通事故で後遺症が…脊髄損傷とはどんなものですか?
脳の底部から背骨へと延びている太さ約1cmの神経である脊髄を交通事故などの外部からの衝撃で傷付け、さまざまな病状を発症するのが脊髄損傷である。
脊髄損傷なのにむち打ちと言われてしまった場合には
交通事故で脊髄損傷となったのに加害者側からむち打ちなのではと言われた場合、診断書や検査資料で脊髄損傷を立証して正当な賠償金を請求すべきである。
交通事故で警察を呼ばずに後から脊髄損傷と診断されたら?
脊髄損傷の症状は、交通事故発生からしばらくしてから現れることもある。事故現場で自覚症状がなくても、警察を呼んで交通事故の報告をしなくてはならない。
脊髄損傷で納得のいく後遺障害等級を認めてもらうには
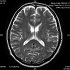
脊髄損傷になったら、精度の高いMRI画像を撮影する、神経学的検査を受けるなどして後遺障害診断書に添付する証拠を集め、納得のいく後遺障害等級を認めてもらうのが望ましい。
保護されている脊髄が脊髄損傷となってしまった場合には
脊髄にかかる衝撃が保護している範囲の限界を超えると脊髄を構成する神経が傷ついて脊髄損傷になる。脊髄損傷となった場合には、まずは弁護士へ相談するのが望ましい。
脊髄損傷となる原因にはどんなものがある?
脊髄損傷となった患者の約半数は交通事故が原因だが、脊髄に血液を送る血管の血流が途絶えて脊髄に血液が流れなくなることが原因でも脊髄損傷は発症する。
脊髄損傷と脊椎損傷の違いとはどんなものですか?
脊髄損傷は、脊椎を通る脊柱管の中にある脊髄という神経の束を傷めると発症する神経の病変で、脊椎損傷は、脊椎を構成している椎骨の骨折やねんざなどの外傷です。
脊髄損傷で入院しても6ヶ月で退院しなくてはならない?
脊髄損傷の入院期間は、国が定めた規則により例外と認められない限り6カ月を超えると入院基本料の15%が自己負担になるため、ほとんどの人が6カ月以内に退院する。
脊髄損傷となり室内移動が困難となるケースについて
交通事故で脊髄損傷となった患者が車いすを用いて室内移動をするのは困難であるケースがあるため、外出用とは別の移動手段を考慮する必要がある。
脊髄損傷で移動が困難となった場合に請求できるものとは
交通事故により脊髄損傷を負い、歩行困難となった場合には、移動に必要な杖や車いすの購入費用のほかに、福祉車両や民間救急車などの移動手段についても請求できることがある。
交通事故で脊髄損傷となった場合の逸失利益について
交通事故に遭い脊髄損傷を負って後遺障害が残った場合には、逸失利益が発生するが、被害者の職種などによっては、実情の損害とそぐわない逸失利益の額となることがある。
不完全脊髄損傷により起こる上半身麻痺について
脊髄損傷でまれに上半身麻痺が起こることがある。珍しい症例のために脊髄損傷との因果関係に気付かない医師もおり、示談が不利になるケースもあるため、交通事故に詳しい弁護士に相談をするとよい。
不完全脊髄損傷で後遺障害が出るケースについて
脊髄損傷を負ったからといって必ず後遺障害が出るとは限らない、しかし、不完全脊髄損傷の場合、後遺障害が出ても損傷個所がMRIなどで見つからないケースもあるので、専門病院で検査を受けるとよい。
脊髄損傷で再生医療を保険適用で受けるためには
脊髄損傷の治療で、保険を適用して再生医療を受ける場合には、期限や条件があるため、治療を希望する場合には速やかに手続き等を進める必要がある。
高齢者で脊髄損傷の後遺障害認定がされないケースとは
高齢者の脊髄損傷患者の場合、交通事故後の後遺症状が加齢によるものと似通っていて程度が同レベルの場合には、後遺障害認定がされないこともある。
脊髄損傷となった場合に起こる排尿障害について
交通事故に遭って脊髄損傷を負った場合、排尿障害が起こることがある。症状や被害者の年齢によっては、後遺障害の認定で争われることがある。
交通事故による不完全脊髄損傷の危険性について
不完全脊髄損傷の場合、運動機能の麻痺以外の神経障害が起こる可能性があるため、示談前にそういった体の不調が無いか確認をする必要がある。
以前から歩行困難で脊髄損傷により歩行が出来なくなったら?
脊髄損傷で歩行困難の症状が出た際に、後遺障害について被害者の年齢が問題となることがあるので、被害者が高齢者になるほど弁護士に事前に相談をした方が良い。
脊髄損傷で歩行に支障が出た場合に請求できるものについて
交通事故で脊髄損傷を負い、後遺症により歩行困難となった場合には、後遺障害慰謝料・逸失利益・杖などの購入費用を、相手方に請求することができる。
脊髄損傷の後遺症があるが減収がない場合、逸失利益は?
交通事故で脊髄損傷となり後遺症を負っても給料の減額等がない場合、逸失利益が認められないケースもあるため、弁護士に相談をして逸失利益の計算をしてもらうとよい。
交通事故による脊髄損傷が症状固定後で分かった場合には?
交通事故による怪我を症状固定した後に脊髄損傷が見つかった場合は、脊髄損傷が後遺障害認定に影響する可能性が高いので、診断書を訂正してもらう必要がある。
脊髄損傷において症状固定をしなくてはいけない理由とは
交通事故で脊髄損傷を負った場合、症状固定の時期が問題となる事が多いが、症状固定の時期は医師に、保険会社との交渉は弁護士に任せるとよい。
脊髄損傷の示談で保険会社との交渉はどうすればいいの?
交通事故で負った脊髄損傷の示談を個人で保険会社と行うことは、不利な立場で行わなければいけないため、弁護士に依頼をして示談交渉をしてもらうとよい。
脊髄損傷を負った際に利用する車いす購入の注意点
交通事故で下半身麻痺の脊髄損傷を負った場合、車いすの購入費用を加害者側に請求できるが、購入前にいろいろと試してから購入した方が良い。
脊髄損傷におけるライプニッツ係数の民法改正について
ライプニッツ係数は、交通事故による脊髄損傷の損害賠償に係る逸失利益や介護費を計算するうえで非常に重要な係数で、民法の改正により5%から3%へと変更された。
脊髄損傷となり排泄障害という後遺症がでた場合には
脊髄損傷の後遺症の症状の1つに排泄障害があり、障害が出ると一生改善されない症状であるため、交通事故で示談する際には、費用面を含めて検討をする必要がある。
高齢者の脊髄損傷は交通事故によるものと認められないことも
交通事故で高齢者が脊髄損傷となった場合、加齢などの要因で交通事故以前からの脊髄損傷と疑われて後遺障害が認められない場合もあるため、交通事故に詳しい弁護士に相談をした方が良い。
規模に関係なく交通事故により脊髄損傷を負うケースについて
交通事故の規模が比較的軽微であっても脊髄損傷を受傷することがあるが、加害者側と後遺障害認定において揉めることがあるため、もめごとが起こった際はすぐに弁護士に相談した方が良い。
脊髄損傷が原因の自律神経の乱れによる後遺症について
脊髄損傷を負うと自律神経の乱れが出ることがあり、それにより季節の変わり目や冬季に体調不良が出やすくなってしまう事もあるため、早期に示談を終えてしまう場合には注意が必要である。
脊髄損傷で足に麻痺がでていないのに腕に麻痺がでるケース
不完全脊髄損傷の場合、足に麻痺が出ずに、腕や指に麻痺が出ることがある。その場合、麻痺の原因が脊髄損傷と気づかれず後遺障害認定がされないこともあるので、セカンドオピニオンを受け方が良い。
移動関連の問題が起こりやすい脊髄損傷患者の後遺症について
脊髄損傷患者の多くは足に障害が出るため、歩行や移動に関して問題を抱えることになる。将来的な歩行・移動補助道具の購入費用も交通事故の相手方に請求できる。
脊髄損傷による後遺症で使用する用品代金は請求できる?
脊髄損傷による後遺症で必要となった用品の費用は、加害者側に請求することができるので、弁護士に内容を精査してもらってから請求するとよい。
脊髄損傷で適切な後遺障害認定の等級を認められるためには
脊髄損傷は人により後遺障害の症状がかなり違うが、同じような後遺症でも後遺障害認定の等級が変わる事もあるので、事前に弁護士に相談する方が良い。
脊髄損傷患者のマンション住まいで起こる問題点について
脊髄損傷患者が受傷後に自宅マンションに住み続けるのが困難といった問題が起こった場合、改装や引っ越しを検討しなければいけない。その場合、弁護士に依頼をしてアドバイスを受ける方が良い。
交通事故による脊椎骨折が治らず脊髄損傷となるケースとは
交通事故による脊椎骨折から事故後しばらくたって脊髄損傷となるケースもあるので、交通事故による脊椎骨折が原因の脊髄損傷と加害者側に認めてもらうためにも、弁護士に相談した方が良い。
脊髄損傷となり退院した後に困るキッチン事情とは?
交通事故で脊髄損傷を負ったため、車いす用のキッチンへのリフォームを検討している場合は、事前に弁護士にリフォーム内容が妥当か精査してもらう方が良い。
家族が脊髄損傷となった際に利用したい介護休業法について
家族が交通事故で脊髄損傷になっても、家族が介護のために仕事を辞めるのではなく、介護休業法を利用して介護をしながら仕事を続けることも可能である。
脊髄損傷なのに骨に損傷が見つからない「非骨傷性頚髄損傷」
骨に損傷のない脊髄損傷『非骨傷性頚髄損傷』は、むち打ちと誤診されて発見が遅れることがあり、その場合示談交渉でもめることがあるので、先に弁護士に相談をする方が良い。
重篤な障害があっても症状を軽くみられる不完全脊髄損傷
脊髄の一部が傷つく不完全脊髄損傷は、重篤な障害があっても症状を軽くみられる事がある。交通事故の後遺障害等級認定は障害の重篤さで決まるため、正確に医師に後遺障害の状態を伝える必要がある。
脊髄損傷で麻痺がある部分に痛みやかゆみを感じる幻肢痛
脊髄損傷では麻痺がある部分に痛みやかゆみなどを感じる幻肢痛という症状が出ることが多くあるため、幻肢痛で日常生活に支障が出る場合にはその分を含めた損害賠償請求をした方が良い。
脊髄損傷において重要視されるADLとQOLについて
脊髄損傷を負った後の生活ではADLが重要視されてきたが、昨今ではQOLも重要視されてきており、交通事故の示談交渉もQOLを鑑みた損害賠償請求をするべきである。
上半身にのみ麻痺症状がでる中心性脊髄損傷について
脊髄損傷の中でも珍しい中心性脊髄損傷の場合は、下半身に麻痺症状が出ずに上半身にのみ麻痺症状が現れることがある。また発見しづらいため、原因不明、もしくは詐病と疑われるケースもある。
脊髄損傷となった場合に必要となる車いすの費用請求について
交通事故による脊髄損傷で車いすなど歩行器具が必要となった場合には、将来的な買い替えも含めて加害者側へ費用を請求することができる。
交通事故による脊髄損傷で入院中の雑費は請求できる?
交通事故による脊髄損傷で入院中の入院雑費は、日額1,100~1,500円で計算されるが、それを上回る請求をする場合には立証証拠を揃えて弁護士から請求してもらう方がよい。
元々脊髄損傷でまひが…新たに事故でしびれが出た場合は?
自賠責保険の運用変更で、以前から脊髄損傷でまひがあっても、交通事故で新たにしびれが生じた場合には、弁護士に示談交渉を依頼すれば新たなしびれに対する分の請求をすることができる。
脊髄損傷で適切な後遺障害等級認定を受けるための弁護士選び
交通事故で脊髄損傷を負った場合、適切な後遺障害等級認定を受けるのが重要である。裁判所基準額で交渉し、望むべく賠償額を勝ち取れる弁護士に依頼すべきである。
完全損傷の脊髄損傷の後遺障害等級はどう決まるの?
交通事故で負った脊髄損傷の後遺障害等級は完全損傷か不完全損傷かが大きく影響する。自賠責基準と弁護士基準では金額差が大きいため、弁護士に依頼すべきである。
脊髄損傷で適正な後遺障害等級認定のために行う異議申し立て
交通事故による脊髄損傷においての後遺障害等級の異議申し立ては簡単ではない。原因を追究して正しく分析するためには弁護士に依頼するのが望ましい。
交通事故による脊髄損傷で後遺障害等級を認定するためには
交通事故による脊髄損傷を立証するのは簡単ではない。症状の程度に沿った後遺障害等級が認定されるためには、弁護士に依頼しての対応が望ましい。
脊髄損傷を負ったが後遺障害等級が非該当になる場合とは?
交通事故が原因で脊髄損傷を負っても後遺障害等級が非該当になる場合もある。訴訟を起こさないためにも早い段階で交通事故の対応に優れている弁護士に相談すべきである。
不完全損傷の脊髄損傷で後遺障害等級が非該当になったら
交通事故による脊髄損傷のなかで不完全損傷の場合は注意が必要である。後遺障害等級が認められない可能性がある。弁護士のサポートがあってこそ、訴訟を避けられ、適切な対応ができる。
脊髄損傷で後遺障害等級の異議申し立てには弁護士が必要?
交通事故による脊髄損傷において後遺障害等級が必ずしも正しく認定されているわけではない。弁護士に依頼して異議申し立てを行えば、適切な対策が立てられるため、まずは弁護士に相談するのが望ましい。
脊髄損傷で認定される後遺障害等級と慰謝料の相場について
交通事故で受傷した脊髄損傷は、後遺障害等級の認定を受けられれば高額の慰謝料を見込める。今後の人生を大きく変える怪我であるため、納得いく金額を受け取るために、弁護士に相談するべきである。
軽度の脊髄損傷を負った場合の後遺障害等級認定について
交通事故により脊髄損傷となった場合の後遺障害等級は、7段階に区別される。脊髄損傷の後遺症が軽度な症状の場合、第12級など、下位の等級として認められる可能性がある。
脊髄損傷患者を身内が介護しても介護費用は請求できるの?
医師が脊髄損傷患者の介護が必要と判断した場合、例え身内が介護をしたとしても、介護費用を請求できる。仮に職業介護人を雇った場合も、負担した費用の請求が認められる。
脊髄損傷の症状固定を行う時期はいつが望ましい?
脊髄損傷に限らず、後遺症の残る交通事故の怪我は、いつ症状固定をするかが非常に重要である。症状固定後は保険金が支払われ、治療費の補償が終了するため、時期を正しく見極めて対応するのが望ましい。
交通事故による脊髄損傷の後遺障害等級と具体的な症状とは
交通事故による脊髄損傷は、症状に応じて後遺障害等級が分かれる。慰謝料に大きく影響する部分であるため、具体的な症状と等級を照らし合わせ、把握するのが望ましい。
交通事故により脊髄損傷となった場合の休業損害について
交通事故で脊髄損傷となると、これまで通り仕事に従事できなくなる。すると、収入が減り、生活が金銭的に圧迫される状況になり得るため、欠かさず休業損害の請求を行うべきである。
脊髄損傷が原因で生活が困難な場合はリフォーム代の請求を
交通事故で脊髄損傷となり、現在の自宅では生活が困難な場合、加害者側にリフォーム代を請求する事が可能である。状況によって、全額負担は難しい場合があるものの、まずは交渉してみると良い。
脊髄損傷において示談交渉を行う適切なタイミングとは?
脊髄損傷の示談交渉における被害者の請求権には時効が存在する。そのため、時効を気にして示談を急ぎそうになるかもしれないが、時効は症状固定をしてから2年間とされているため、焦る必要はない。
脊髄損傷で後遺障害等級が認定された場合の慰謝料は?
脊髄損傷と一口にいっても、必ず上位の後遺障害等級に当てはまるとは限らない。当該症状に応じ、認定される等級は異なり、等級が高いほど慰謝料の額にも関わる。
交通事故による脊髄損傷で請求できる損害賠償の種類とは?
交通事故で脊髄損傷を負った場合、加害者側に対して請求できる損害賠償項目を把握しておく事は重要である。被害者が該当する損害賠償項目を主張し忘れることの無いよう確認しておかなくてはならない。
脊髄損傷は時効を気にして急いで示談交渉を行うべき?
交通事故における示談交渉での請求の権利は、交通事故が発生してから3年と決まっている。しかし、脊髄損傷のような重篤な後遺症がある場合、時効を算出する開始日が異なり、症状固定から3年間である。
脊髄損傷患者に必要な介護費用は加害者側へ請求できる?
交通事故で脊髄損傷を負い、被害者が介護の必要な状態に陥った場合、将来的な介護費用を請求すれば認められる可能性がある。正当な理由を主張するためにも、弁護士に相談してみるとより安心できる。
脊髄損傷でリフォームが必要になった場合、費用の請求は?
脊髄損傷は損傷の程度により、足先の痺れや、下半身麻痺であったりと症状にばらつきがある。交通事故による怪我が原因で生活が困難になった場合、リフォーム費用を加害者側に請求できる可能性がある。
交通事故で脊髄損傷となった場合の保険会社への対応について
交通事故で脊髄損傷を負ったとき、保険会社への対応として、示談にすぐには応じず、まずその内容をよく確認するべきである。話し合いでもトラブルを避けるため、録音やメモを取ると良い。
脊髄損傷のMRIで異常所見に影響する2つの要素とは
脊髄損傷のMRIで異常所見が得られるかどうかは、装置の解像度のほか医師の診断スキルや方針にも影響される。しかし、3.0ステラの装置や大病院の医師なら必ず異常を見つけられるわけではない。
回復が難しい脊髄損傷における治療の目的や最新の研究とは
脊髄損傷での患部回復の可能性はないとされ、治療では脊椎の安定、さらなる損傷の予防、リハビリ促進を目的とする。一方で、脊髄の再生を目指す医学的研究が続けられ、興味深い結果が出ている。
脊髄損傷での後遺障害等級が非該当に・・・傾向と対応は?
脊髄損傷の後遺障害等級認定が非該当になるケースには、客観性の無さや一貫性の無さなどの傾向が見られる。非該当の場合にもポイントをおさえた対応によって賠償金増額の可能性はある。
脊髄損傷となりMRIを受ける場合の注意点について
脊髄損傷が疑われる場合、交通事故後すぐに精度の高いMRIを受けて、正確な画像診断をしてもらうべきである。きちんと損害賠償を受けるためにも重要なため、撮影適合者かどうか、撮影環境などにも注意する。
脊髄損傷は交通事故後、いつ頃に症状固定すれば良いの?
脊髄損傷では症状固定までに時間がかかることも多いが、後遺障害等級認定の際には、症状固定から示談まで2年の猶予があるので、無理に急がなくても良い。
脊髄損傷になってしまったときに知っておくべき基礎知識
脊髄損傷になったときには、脊髄のどの部分が傷つき、これによりどんな障害が出るのか、診断方法、治療方針を知っておくべきである。生活面では介護や住居のバリアフリー化が必要になる。
脊髄損傷では損傷箇所によってどんな支障が生じるの?
脊髄損傷では、それぞれの損傷箇所が支配する器官によって、起こる障害がわかれてくる。完全型・不完全型でも異なり、手足の麻痺や皮膚機能の喪失、排泄機能の喪失などと向き合うことになる。
脊髄損傷の診断で有効な神経学的検査、電気生理学的検査とは
脊髄損傷の診断ではMRI等の画像が重視される。発見が難しい場合もあるため、早期に専門医を受診する事が大切である。神経学的検査や電気生理学的検査でのサポートも可能なため、検査を行うと良い。
脊髄損傷によって引き起こされる自律神経障害について
脊髄損傷のなかでも頚髄が損傷すると、自律神経障害がみられることがある。症状として体温調節機能の低下や血管運動神経の障害、異常疼痛や異所性骨化などがみられる。
脊髄損傷の診断結果での損傷箇所、ダメージの表記法について
脊髄損傷の診断は麻痺、しびれの確認、MRI等の画像診断で特定し、損傷箇所は、C・T・L・Sで部分を、番号で骨の場所を表す。ダメージの度合いは完全損傷と不完全損傷に分かれる。
脊髄損傷では後遺障害等級によって慰謝料は変わる?
脊髄損傷時の後遺障害等級は幅広く、麻痺の範囲・程度に加え介護の必要度が考慮される。慰謝料は1,000~3,000万円程度が多く、逸失利益額も高めの傾向がある。
中心性脊髄損傷となり、正確な診断をしてもらうためには
脊髄損傷の中でも中心性脊髄損傷は、脊椎の骨折を伴わないので診断がむずかしい傷病である。正確な診断をしてもらうために、神経学的検査を受けると良い。
脊髄損傷で納得のいく後遺障害等級を認めてもらうには?
交通事故が原因で脊髄損傷を負った場合、精度の高いMRI画像を撮影する、神経学的検査を受けるなどして、納得のいく後遺障害等級を認めてもらうべきである。
脊髄損傷なのに加害者からむち打ちだと言われたら?
交通事故が原因で脊髄損傷となったのに、加害者側からむち打ちなのではと言われたら、診断書や検査資料で脊髄損傷を立証して正当な賠償金を請求するべきである。
脊髄損傷となった場合、損害賠償請求の時効はいつまでなの?
交通事故により脊髄損傷となった場合、損害賠償請求の時効は交通事故日から3年であるが、後遺障害が残った場合は、症状固定をした日から3年というのが判例として残っている。
交通事故現場で警察を呼ばずに後に脊髄損傷と診断されたら?
脊髄損傷の症状は、交通事故発生からしばらくして現れることもあります。事故現場で自覚症状がなくても、警察を呼んで交通事故の報告をしましょう。
脊髄損傷以外の麻痺の原因、脊髄圧迫について
交通事故で体が麻痺したり動かない原因は、脊髄損傷のほかに脊髄が圧迫されて起こるものなどがあり、手術などの治療が必要なものもある。
交通事故による脊髄損傷の示談を弁護士に依頼する利点とは?
脊髄損傷となった交通事故の示談を弁護士に依頼する利点には、損害賠償金の増額や法的なアドバイスが受けられる等があるため、弁護士を雇うことも検討してみると良い。
脊髄損傷での示談の際に発生する遅延損害金とは?
交通事故による脊髄損傷の損害賠償金には、交通事故日から遅延損害金が課されるが、一般の示談交渉では支払われることがほとんどないため、弁護士から請求をしてもらうと良い。
脊髄損傷の症状固定が示談の時効に間に合わない場合は?
脊髄損傷の損害賠償請求の示談は交通事故から3年が時効とされているが、後遺症がある場合には、症状固定日から3年が時効となる。
脊髄損傷の後遺障害認定で重要な日常生活状況報告書とは
交通事故による脊髄損傷の後遺障害認定を受ける際に、日常生活状況報告書の内容が重要となるので、交通事故に詳しい弁護士のアドバイスを受けて作成をした方が良い。
脊髄損傷で逸失利益が発生しなかった場合、請求はできない?
交通事故による脊髄損傷で後遺症があった場合でも、逸失利益が発生しないケースでは相手側に請求することができない。
交通事故での脊髄損傷に関する知識を収集したい場合には?
交通事故で脊髄損傷となり、脊髄損傷の知識を得たい場合には、信頼のおける発信源から、新しい情報を収集することが大切である。
脊髄損傷のリハビリにはどれくらいの期間がかかる?
脊髄損傷のリハビリ期間は、ADLを習得するのに6カ月~2年が一つの目安とされているので、患者はリハビリに専心して交通事故の示談は弁護士に任せる方が良い。
5段階に分けられる脊髄損傷による麻痺の度合い
脊髄損傷は同じ箇所の損傷でも、損傷により麻痺の度合いが変わり、その度合いによっては後遺障害の認定がされない場合もある。
脊髄損傷を負った場合でも運転免許証を取得するためには
交通事故で脊髄損傷となった場合でも、運転免許試験場(運転免許センター)で適性検査を受けて審査に通れば、運転免許証を取得することができる。
交通事故で脊髄損傷となった場合、どんな手術が行われるの?
脊髄損傷で行われる手術は、神経除圧術と脊髄固定術があるが、どちらも脊髄損傷を根本から治癒するものではなく、対処療法としての手術になる。
家族が脊髄損傷患者の介護をしても介護費用は出るの?
脊髄損傷患者を家族が介護をした場合でも、加害者に対して介護費用の請求ができるケースもあり、将来的な介護費用も請求できることがある。
障害年金は脊髄損傷患者でも給付を受けられるの?
脊髄損傷の障害の度合いによっては障害年金を請求できるが、交通事故の場合は傷病手当金の給付や損賠賠償金の受け取りにより、制限がある場合もある。
脊髄損傷で慰謝料が増額されるケースとはどんなもの?
交通事故による脊髄損傷の慰謝料が、一般的な相場から増額されるケースもあるが、時代によっての変化もあるので、弁護士に確認をした方が良い。
脊髄損傷で使用する医療器具購入の費用請求について
交通事故による脊髄損傷で、車いすなどの医療器具が永続的に必要となった場合には、将来的な購入費用も加害者に請求できる。
脊髄損傷による介護費用の請求はどこまで認められる?
脊髄損傷による介護費用の請求は、脊髄損傷の重篤度により認められるときもあれば、認められないケースもあるため、事前に弁護士に相談して確認をした方が良い。
脊髄損傷となり必要となった福祉車両車の購入は認められる?
交通事故で脊髄損傷となり、車いすでの外出の必要性が高い場合では、福祉車両の購入代金を加害者に請求できることもある。
脊髄損傷の逸失利益での労働能力喪失率、例外は認められる?
交通事故で脊髄損傷の逸失利益の計算には、後遺障害等級に応じた労働能力喪失率が使われるが、労働能力喪失率の上昇が認められたり、全く認められないといったこともあり得る。
脊髄損傷の保険適用外での治療は加害者に請求できる?
交通事故の脊髄損傷の治療で、保険適用外の治療費は加害者や加害者の保険会社が認めることはほとんどないため、事前に保険会社に確認をしてからの方が良い。
脊髄損傷に対する慰謝料とはどのようなものなのか?
慰謝料とは、文字通り「慰(なぐさ)め、謝(あやま)るため」に支払うお金で、脊髄損傷の痛みや以前の日常生活を送れなくなった事へのお詫びの気持ちを表す金銭である。
脊髄損傷での積極的損害と消極的損害、違いとは?
脊髄損傷による損害賠償の内訳は、大きく分けて積極的損害と消極的損害の2種類があり、もともとの損害に対する補償の性質が異なる。
脊髄損傷での労働能力喪失率によって変わる補償について
脊髄損傷の後遺障害等級は、労働能力喪失率や逸失利益と深く関係しているため、正しい後遺障害認定を受けることが重要である。
脊髄損傷では休業補償の保険金はどのくらい請求できるの?
交通事故による脊髄損傷で休業補償の請求では、入院期間や通院した日のほかに、医師が自宅療養の必要性を認めた場合には、通院をしなかった日に対しても休業補償を請求できる。
脊髄損傷による麻痺以外の症状はどんなものがある?
脊髄損傷の症状は四肢の麻痺が代表的なものであるが、一見して脊髄損傷によるものとは分からない症状もあるため注意が必要である。
重度の脊髄損傷では保険金が足りなくなるケースも?
交通事故で加害者側が自動車保険に加入していても、重度の脊髄損傷の場合は保険金額が足りないこともあるので、保険の内容を確認する必要がある。
被害者請求で脊髄損傷の後遺障害の認定を受けた方がいい理由
脊髄損傷の後遺障害認定を受ける際には、被害者請求をする方が有利であるが、申請書類の内容が認定を左右するため、弁護士に相談をした方が良い。
脊髄損傷が原因で復職できなかったときの補償はどうなる?
脊髄損傷が原因で復職できない場合でも、給料の100%が補償されるわけではなく、後遺障害等級に応じた労働喪失率に準じた補償がされる。
既往症や持病により、脊髄損傷の保険金が減額される?
脊髄損傷となったとしても、交通事故以前から症状を抱えていた場合は、交通事故による後遺症とは認められず、保険金が減額されることがある。
脊髄損傷となった場合、成年後見人制度は利用できる?
脊髄損傷となり意思確認がとりづらく、成年後見人制度の利用を考える人もあるが、様々なハードルがあるため、一概に認められるとは限らない。
交通事故の後日に脊髄損傷と診断されるケースとは?
交通事故の後日に脊髄損傷が判明しても、交通事故との因果関係の証明が難しいケースもあるため、弁護士に相談をした方が良い。
そのめまい、交通事故による脊髄損傷が原因かも?
脊髄損傷の症状の中にはめまいなどもあり、更年期障害と誤診されることもあるので、交通事故後にめまいの症状が出た場合は精密検査をした方が良い。
脊髄損傷患者の介護人の費用は請求することができる?
脊髄損傷となって自宅介護する場合、職業介護人の費用を保険会社に請求することができるが、容体などによっては介護人の費用が認められないこともある。
脊髄損傷となった場合、医師との連携はどうすれば良い?
交通事故での脊髄損傷の診断書は、医師しか作成できないため、患者は医師と日ごろから円滑な連携をとる必要がある。
脊髄損傷で引き起こる顔面神経麻痺や頭痛について
脊髄損傷の後遺症には頭部に出るものもあり、顔面神経麻痺や頭痛などが症状として現れることが多い。
脊髄損傷の独特の痛みとはどんなもの?原因は何?
脊髄損傷が原因で引き起こされる痛みの中には、脊髄損傷独特のものもあるので、医師に相談の上治療をした方がいい。
脊髄損傷となった場合は、介護保険が使えるのか?
以前は脊髄損傷でも介護保険の適用年齢以外ならば介護サービスが受けられなかったが、現在は障害者総合支援法の支援を受けることができる場合がある。
症状が出ない脊髄損傷の場合、後遺障害認定は受けられる?
脊髄損傷であっても麻痺などの症状がない場合には、後遺障害認定を受けることは困難である。
高度障害の脊髄損傷の保険金が高額になる理由とは
交通事故による脊髄損傷の裁判で保険金が高額な判決となるのは、弁護士が脊髄損傷に関する請求を正しく計算し直すからである。
脊髄損傷となった場合、生命保険からも保険金が?
交通事故で脊髄損傷となった場合、生命保険からも保険金が支払われることがあるが、高度障害保険金は支給要件が厳しい場合もあるので、弁護士を通じて保険会社と交渉しても良い。
保険会社が脊髄損傷を認めない場合はどうすればよい?
保険会社が事故による脊髄損傷と認めないケースには、事故が軽微であったり、症状の発症が遅いことがあげられる。保険会社に認めさせるには、弁護士に相談をした方が良い。
脊髄損傷となったのに診断が下りないケースとは?
脊髄は老化による変形や損傷があり、交通事故後に脊髄損傷が見られても、交通事故に起因するものと認められず、診断が下りない事がある。そのような場合には交通事故に精通した弁護士に相談した方が良い。
脊髄損傷と遷延性意識障害の違いとは?
脊髄損傷で意識がないと、遷延性意識障害と混同されることがあるが、遷延性意識障害は脳の障害であるため、全く別のものになる。
交通事故で同乗者が脊髄損傷となった場合の補償は?
同乗者が脊髄損傷となった場合の保険には、「対人賠償責任保険」と「人身傷害補償特約」と「搭乗者傷害保険」の三つがある。
脊髄損傷患者の弁護士との付き合い方について
交通事故による脊髄損傷で弁護士に依頼する際には、契約書で依頼の範囲や内容をよく確認する必要がある。
脊髄損傷でセカンドオピニオンを受けるメリットは?
脊髄損傷でセカンドオピニオンを受ける大きなメリットは、精度の高い診断を受けられる点である。
主婦が交通事故で脊髄損傷になった場合の補償は?
主婦が交通事故で脊髄損傷となった場合、被害者家族の負担が大きいのに対して、保険会社の補償金額は、仕事をしている男性の場合よりも低く提示されることの方が多い。
脊髄損傷の人身傷害補償特約の落とし穴
人身傷害補償特約は契約車両の運転手の過失を問わず保険金が支払われ、示談前に受け取ることができるが、支払われる金額は保険会社の査定額となるため、脊髄損傷の場合などでは金額が不足する時がある。
脊髄損傷でも持病を抱えていれば素因減額される?
交通事故で脊髄損傷となった場合でも、被害者にもともと心身的なマイナス要因がある場合には、素因減額と言う形で損害賠償金が減額される。
脊髄損傷患者のメンタルケアでの必要性
交通事故で脊髄損傷となった場合、事故以前の状態との落差にショックを受ける患者が多く、そのような患者に対してのメンタルケアの治療は効果的である。
脊髄損傷とEDの関係性について
交通事故で脊髄損傷となると、脊髄内の勃起中枢や射精中枢が働かなくなり、EDとなる事がある。
混同されがちな脊髄損傷と脊椎損傷の違い
混同されがちな脊髄損傷と脊椎損傷であるが、脊髄損傷は脊髄の一部もしくは完全な断裂の状態を差し、脊椎損傷は背骨の骨折や脊椎間の軟骨の損傷などを指すため、医学的にみると大きな違いがある。
脊髄損傷で後遺障害認定の等級が重要な訳
脊髄損傷では後遺障害認定の等級の違いにより、後遺障害の慰謝料だけでなく、将来的な収入に対する損害の補償金額も大きく変わるため、後遺障害認定の等級が重要になる。
画像所見がない場合には脊髄損傷は認められないのか?
レントゲンやMRIなどの画像所見がない場合、医師が脊髄損傷と診断していても裁判所が認めない場合もあるため、裁判をする場合には事前に弁護士に相談をした方が良い。
脊髄損傷で会社から解雇を言われた場合には?
脊髄損傷となった場合でも、直ちに会社側から解雇するのは不法行為に当たる。通常は1年~1年半の休業期間を経て、解雇もしくは復職の判断をすることになる。
脊髄損傷患者のソーシャルワーカーとの付き合い方
ソーシャルワーカーは医療行為自体はしないが、入院を起因とする諸問題に対して補助する職業で、脊髄損傷の場合は今後の生活不安や諸手続きに関して相談できる専門者である。
脊髄損傷で入院中に転院は出来る?
遠方地で交通事故に遭い脊髄損傷で入院した場合、 移動に耐えうる容体と転院先が確保できていれば、治療中であっても転院をすることができる。
脊髄損傷の住居問題について知っておきたいこと
交通事故で脊髄損傷となり車いすを使うことになった場合、今まで住んでいた住居が車いすでは生活できず、引っ越しを余儀なくされることがあるが、引っ越し費用などを加害者側に請求できる。
脊髄損傷による国が定める身体障害者認定とは?
脊髄損傷による後遺障害認定と国が定める身体障害認定の等級は、同じであることもあるが異なることも多いため注意が必要である。
脊髄損傷での障害年金の受給資格とは?
脊髄損傷で後遺障害認定を受けても、厚生省が定める障害者認定や障害基礎年金給付基準とは異なり、障害年金の支給を受けたい際には、事前に弁護士に受給資格があるか確認した方が良い。
脊髄損傷の意外な症状とはどのようなもの?
脊髄損傷の症状は、完全麻痺やしびれなどが代表的なものではあるが、痛みや温冷を感じなくなるなどの感覚異常や、排尿や排便が困難になるなどの様々な症状がある。
脊髄損傷と鍼灸などの東洋医学での治療法
脊髄損傷の治療において、鍼灸や整体などの東洋医学の有効性は認められているものの、「交通事故の治療には使えない」と言う間違った情報が浸透しているため、使うことを差し控える人もいる。
脊髄損傷の保険金 ~3つの仕組みについて~
脊髄損傷の保険金は、症状の重さにより数十万円から時として億となる事もあるが、個人的に交渉をした場合には、保険会社の基準の最低限に近い金額しかもらえないため、弁護士に依頼をした方が良い。
脊髄損傷の後遺障害認定に関すること
脊髄損傷の後遺障害認定は、損害保険料率算出機構(自賠責損害調査事務所)が判断するため、提出する書類の内容により等級が左右される。
脊髄損傷の症状固定のタイミングについて
脊髄損傷の症状固定のタイミングは、患者の回復具合や脊髄損傷の程度、患者家族の経済力などでベストなタイミングが変わるため、交通事故に強い弁護士などに相談をした上でいた方が良い。
脊髄損傷患者の自宅看護を選ぶ理由
脊髄損傷となった患者の自宅看護は、住み慣れた自宅での看護なので精神的な負担が少ない反面、毎日の看護で患者・看護人双方にストレスがたまりやすいと言う問題点もある。
脊髄損傷で入院した時に必要なこと
交通事故で入院した場合でも、即時脊髄損傷と診断されることは少なく、経過観察や検査により脊髄損傷の診断が下される。
脊髄損傷のリハビリテーション
脊髄損傷となった場合、体の傷が治癒し始めると早急にリハビリ計画が立てられ、リハビリをしていくことになる。麻痺をした部分であってもリハビリテーションの有用性がある。
現在の脊髄損傷の治療法はあるのか?
現在、脊髄損傷となっても治療法はないが、iPS細胞などを筆頭に再生医療の研究が盛んとなっているため、将来的には治療法が確立される可能性が高い。
尾椎の脊髄損傷とはどのような状態なのか?
尾骨の脊髄は他の脊髄よりも退化しており、尾髄の脊髄損傷より仙骨の脊髄損傷や尾骨の骨折による神経障害として取り扱われることが多い。
仙椎の脊髄損傷とはどういったケースを指すのか?
仙骨の脊髄損傷では、主に臀部から足裏、つま先にかけての麻痺が起こり、排尿障害なども起こることがある。
脊髄損傷とはどういう状態を指すのか?
脊髄損傷は、脊椎(背骨)の中にある神経の束である脊髄が完全断裂したり、部分断裂をした状態である。脊髄損傷は腰の軽い違和感から首の下が全く動かないなどの症状の重篤さがかなり違う。
交通事故だけではない腰椎の脊髄損傷になる原因
腰椎に脊椎損傷が起きると、足の麻痺や排尿障害などが起こりやすいが、不完全型の脊髄損傷で軽微な障害であると、脊髄損傷であることが見過ごされてしまう危険性がある。
胸椎の脊髄損傷とは重症な症状なのか?
胸椎の部分で脊髄損傷が起こると、肩から下の部分に筋肉や感覚器官の麻痺がおこるが、胸椎でも下の部分で脊髄損傷が起こると、腕や指などは自分で動かすことができる。
頸椎の脊髄損傷について
頸椎内で起こった脊髄損傷は頸髄損傷と呼ばれ、脊髄損傷の中でも重篤な症状が出ることが多く、交通事故などで脊髄損傷となった患者の約75%が頸髄損傷である。


























































































































































































